Associates in Dentistry | Teeth Whitening, Veneers and Pediatric Dentistry

Dentistry Before and After Photos

Feel Confident in Your Smile Again: Personalized, Judgment-Free Dental Care
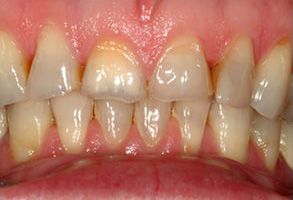
before

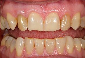
Before

Associates in Dentistry | Digital Radiography, Teeth Whitening and Reveal reg Clear Aligners

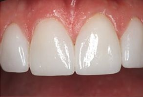
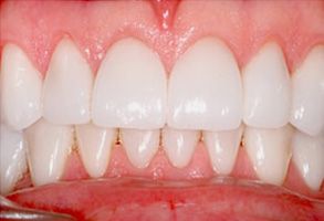
After

Associates in Dentistry | Teeth Whitening, Dental Bridges and Reveal reg Clear Aligners

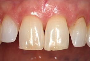
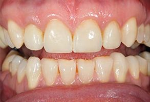
Before

Associates in Dentistry | Digital Radiography, Veneers and Teeth Whitening

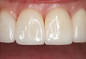
After

Associates in Dentistry | Oral Exams, Emergency Treatment and Teeth Whitening

Before

Associates in Dentistry | TMJ Disorders, Oral Exams and Root Canals

After

Associates in Dentistry | TMJ Disorders, Oral Cancer Screening and Emergency Treatment

Before

Associates in Dentistry | Digital Radiography, VELscope reg  Cancer Screening and Teeth Whitening

After

Associates in Dentistry | Reveal reg Clear Aligners, Emergency Treatment and Aesthetic Tooth Colored Fillings

Before

Associates in Dentistry | Veneers, Implant Restorations and TMJ Disorders

After

Associates in Dentistry | Teeth Whitening, Reveal reg Clear Aligners and Emergency Treatment

Before

Associates in Dentistry | Dental Bridges, Pediatric Dentistry and Dentures

After

Associates in Dentistry | Porcelain  Zirconia  Crowns, Emergency Treatment and Dental Cleanings

Before

Associates in Dentistry | Periodontal Treatment, VELscope reg  Cancer Screening and Teeth Whitening

After

Schedule a visit today!
Contact Us
Submit

Thank You!

We appreciate you taking the time to visit our site. We'll review your message and be in touch with you soon.

Continue
Associates in Dentistry | TMJ Disorders, Digital Radiography and Veneers